字體:小 中 大 |
|
|
|
| 2018/07/25 21:46:14瀏覽848|回應0|推薦0 | |
宋坤祐
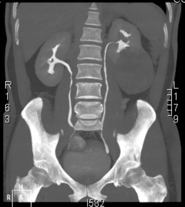
2014年9月10 日一如平常的生活節奏,萬萬沒有預料的事情居然會在不久之後對我當頭棒喝! 然而現在要認真追究這件事的因,為何得到如此的果? 依然沒有人可以拍板定案, 腦海中清晰地記得, 健檢時超音波掃描的醫師口吻平和的告訴我: 先生, 平常腰有沒有不舒服? 超音波掃描看到左邊的腎有一顆”巨大”的腫瘤, 趕快進行後續治療, 越快越好! 接近中午時分, 健檢中心的服務小姐親切地先把超音波掃描的結果給我, 並問我需不需要預約門診? 但是腦袋一片空白, 只是表面上答應著, 下意識想加強對身體的感知, 試著去感覺醫師告訴我的結果, 依舊是感覺良好, 沒 “FU”. 我想一般人面對這種事, 當下心裡的衝擊必然是大於生理, 但是做出的反應不一而足; 有的人會鑽牛角尖, 不停地問: 為什麼是我? 有的人知道之後六神無主, 求神拜佛, 任何機會都去嚐試; 有的人猶如被宣判死刑似的放棄希望… 那我的心理反應又是如何呢? 可能工作性格使然, 好比工程師遇到一個非常棘手的問題, 要如何拆除潛在問題的引信, 避免不預期的引爆, 造成無法收拾的後果. 首先這是一個不爭的事實, 老天沒有對你開玩笑, 我必須直面問題, 再來就是: 好了! 既然這是問題, 要怎麼處理才能達到目的或降低傷害到最小? 當然在處理的過程中, 心情的跌宕起伏或者內心的波濤洶湧難免, 此時的從”心”改變, 會反射出本人對問題抱持的正或負面態度, 都會影響到每一個判斷與結果, 也同時冥冥注定是否有貴人適時伸出援手, 助你度過生命中的低潮時刻! 經過這次無常的考驗, 我覺得最重要是當事人的心靈狀態, 它對結果起到決定性的影響, 因為一般人突然面臨生死關頭, 是毫無準備的而且沒有NG重來的機會; 可想而知心情是多麼恐懼、無助、紛亂! 就好像我在手術準備前, 雖然有家人的支持以及醫師充分的解說, 免不了還是會懷疑結束後是回到現實中抑或到了另外的世界? 為何我如此說呢? 因為無常在我恢復意識不久又演示一個活生生的例子在我眼前: 我在手術後恢復室待了約5小時, 妻子在外焦急地等待, 約凌晨2:45才被通知我已從麻醉中甦醒, 之後直到凌晨5:00送回病房前, 就處於意識清醒但身體無法自主, 傷口疼痛的感覺逐漸加強的狀態, 突然聽到工作人員叫道: 麻醉後血壓50, 30, 趕快與家屬聯絡…, 生死一瞬的戲碼就在我前面掠過. 所以生死大事是每人必修的功課, 如何在那一刻來臨時, 人生沒有遺憾或措手不及, 就必需在平時做功課, 讓自己的心時常處於”定”中, 不去追逐外界的五光十色, 不為慾望所牽絆, 如此才能由定中生起智慧, 鎮定地面對如此大事! 這次的經驗幸虧得到許多貴人的幫助, 才能如此順利! 整件事妻子忙前忙後, 在病榻旁細心照顧; 來自姊姊、小鳳以及上師與師父的心靈支持與關懷; 母親探病時輕撫我的手所流露的不捨和疼惜; 鍾醫師團隊的精湛醫術以及病房護理師們的專業照護…凡此種種, 都是我生命中的貴人. 除了感恩與感謝以外, 希望自己能夠做ㄧ個更好的人, 利益他人, 成為別人生命中的貴人. 提醒大家健檢有一定的重要性, 不要讓無常悄悄地找上而不知道! 祝身體健康 |
|
| ( 心情隨筆|雜記 ) |












