字體:小 中 大 |
|
|
|
| 2011/12/13 12:07:56瀏覽3770|回應2|推薦16 | |
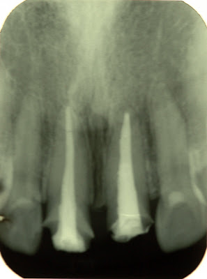
(轉貼圖:抽調神經後的牙齒,在X光片上顯現,換呈現出來是白的.) 我想,我從小到大,看過做多次的醫生,應該是牙醫了吧。小時候是因為蛀牙,長大是因為例行檢查。但為什麼我總是有一堆亂七八糟的問題,醫生一個換過一個,每次照完X光,給我看的片子,都讓我驚訝到不行。 護士:不好意思,你的神經已經被抽掉了,最好是做假牙比較好。 我:神經被抽掉!!什麼時候的事情,看了片子後,確認真的沒了。 (所以我才常常少根經嗎) 我:如果沒有神經以後會怎樣? 護士:沒有神經的牙齒,牙齒就跟死掉了一樣,因為沒有神經供給營養,牙齒會變薄、變脆弱、而且會隨著時間越來越黯淡。然後馬上跟你講價錢,貴金屬(台灣、進口),全瓷&*%&$︿%#$ 我:所以沒有神經的牙齒一定要換假牙就對了。 護士:是啊!(再跟你扯一堆)*︿&%&︿$ 我:不好意思喔~我要跟家人討論一下,下次再你答覆。 後來下次去,決定要做了,這位醫生更厲害,由於我是做醫學美容的,我建議你,要好看的話,一整排六顆都做。下排牙齒再做一些陶瓷貼片,保證你整個人變漂亮。 心中OS:奇怪?!我到底是來看牙醫,還是來整容啊?!而且我牙齒好好的,為什麼要做六顆假的牙?! 當然,原本我決定要做的牙齒,被醫生這樣一搞,我決定不做了。 詢問一些懂醫療方面的朋友,再找一些書跟網路搜尋。 找到這篇文章,是我最最讚同的做法。 不是因為我不想換,就找文章來驗證自己。 而是因為,如果抽了神經的牙齒,就沒有他的價值。那為什麼我不知道自己已經被抽神經的狀況下,那顆牙齒還可以一直好好的存在。 我要的不是變漂亮,需要的是真實的身體,為什麼現在為了美,把全身上下的真實都換成人工的,就算打造出一個完美的容貌,那又如何?!(此段文句,無意冒犯真的需要矯正的朋友。) 抽除神經的活死牙 仍有重要使命 相信有許多人都曾經聽過抽神經這三個字,就字面上看來它相當令人害怕 要將你的神經抽出,這是一件多麼駭人聽聞的事情呀,其實它不如字面上所表現的意思它只是將牙齒中壞掉的東西清除乾淨,且治療過程中也不如想像中可怕 況且這項治療是將真牙保存下來的最好方法抽神經是牙科根管治療中的一個步驟,我們每個牙齒中間都有一個空間即牙髓腔,這樣一個空腔的中間包含了神經 血管,淋巴及一些其他組織的分布而根管治療就是針對此一空腔所做的治療正確的根管治療包含: 1.去除牙髓組織 2.根管沖洗及根管擴大 3.根管填充 4.恢復牙齒的型態及功能 需要根管治療的牙齒通常是牙髓已經發生病變、發炎、引起疼痛導致壞死, 甚至最後形成牙根尖周圍齒槽骨病變吸收,經過根管治療後,可將牙齒保留下來而不需拔除,但也因牙髓組織已清除,所以齒質會漸漸脫水及礦物質化使牙齒變脆而失去彈性且需根管治療的牙齒通常蛀蝕得相當厲害,若不適當保護牙齒,極易斷裂而前功盡棄因此在根管治療後有必要裝上牙柱,以加強牙齒結構,並套上牙冠以保護牙齒,恢復美觀發音及咬合功能。 牙齒中牙髓的存在空間十分細小,所以根管治療的過程是非常精細及困難的 醫師運用特殊設計的小號器械,將發炎、壞死的部部清除乾淨,適度擴大牙髓腔,並使用適當。材料將其細密填充,以取代原有牙髓所佔有的空間,在治療中包含了精確的測量及不妡的擴大,沖洗的過程,需要多次的治療時間才能完成,所以醫師提醒民眾對於療程一拖再拖的病患,除了必須忍受牙齒疼痛的發作外,還可能面臨牙髓發炎擴散導致周遭齒槽骨發炎的危險,嚴重時可能會導致蜂窩性紅織炎 及臉頰腫脹其至細菌就可以順著血液流到全身,引發全身菌血症而危及性命。 雖說根管治療過後的牙齒,已經沒有神經,但血管可維持牙齒的活性可以說是一個活死牙,但是它的存在可以保持天然牙齒排列的完整性,預防鄰接牙齒的移位,蛀牙、牙周病的發生,也防止拔牙後的支抾骨質喪失過多,影響臉形的外觀及假牙穩定性更由於牙齒的保持可解決若干假牙製作上的困難,所以根管治療除了將牙髓清乾淨之外更有將牙齒保留下來的重要使命。 一般在進行根管治療時,若是牙髓炎的牙齒都會在局部麻醉中進行,只要上了麻藥即能在舒適無痛的狀況下接受治療,有些人在治療後仍會有疼痛的現象 此乃牙齒周圍組織有暫時性的炎性反應,簡單的止痛藥即能控制,但若有劇烈的疼痛或腫脹,吃止痛藥也無法改善時,就應該再找醫師做詳細的診療。 轉貼自:http://bbs.nsysu.edu.tw/txtVersion/boards/medicine/M.1091069895.A.html ----------------------------------------------------------- |
|
| ( 知識學習|健康 ) |














