網路城邦
我讀我思我寫
(
新版
)
首頁
文章創作
個人相簿
訪客簿
作家簡介
加入好友
|
推薦此部落格
|
加入我的最愛
|
訂閱最新文章
作家:愛因斯坦
作家
愛因斯坦
文章推薦人
(1)
夜未眠 Sleepless
其他創作
‧
正確的刷牙方式
‧
錯誤的刷牙方式
‧
Google 搜尋大神的應用魅力
‧
不錯的天文科學網站
‧
極光產生的原因
最新創作
‧
Why we should eat bananas ?
‧
我要減肥了
‧
Introduce to Benjamin Franklin
‧
論幽默感
‧
How To Study Studio Classroom
字體:
小
中
大
錯誤的刷牙方式
2006/08/02 13:24:26
瀏覽
272
|回應
0
|推薦
1
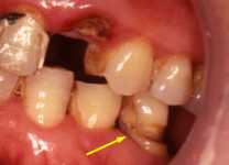
一般人最常用的刷牙方式即在光滑表面區不斷來回做大範圍長距離刷洗
此種刷牙方式往往漏掉預防牙周病最重要的齒頸牙肉區
使牙菌斑繼續殘留而持續破壞牙周組織
另外有些人曾聽過牙醫師說要刷牙肉旁邊的齒頸牙肉區
可是卻仍然做長距離快速且用力的刷洗
如此容易造成牙肉萎縮或齒頸部磨耗而在牙根表面留下刻痕
這也是不對的
(
知識學習
|
科學百科
)
引用網址:https://classic-blog.udn.com/article/trackback.jsp?uid=pinyu&aid=379896