網路城邦
上一篇 回創作列表 下一篇   字體:
人工琺瑯質16
2011/09/24 16:58:47瀏覽112|回應0|推薦0

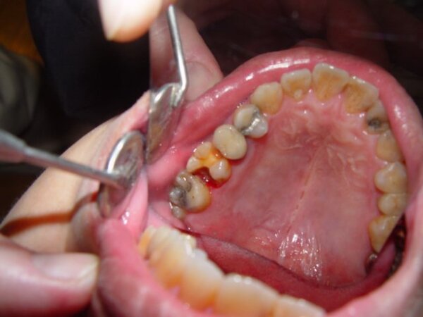
患者為男性,蛀牙過大且在後牙,經醫師檢查後建議患者用好的材質修復,以保護牙齒的神經,

且耐磨,患者同意了,即排時間印模。


再以水雷射處理牙齒的表面後,用特殊無毒性的藥劑鑲嵌上去,術後不敏感,且臨界面可以使用

牙線來清潔,不容易有二度蛀牙的危機。

患者十分滿意療效。術後不需回診,只要定期檢查口腔狀況即可。

( 在地生活中彰投 )
回應 推薦文章 列印 加入我的文摘
上一篇 回創作列表 下一篇