字體:小 中 大 |
|
|
|
| 2024/09/12 16:20:52瀏覽262|回應0|推薦2 | |
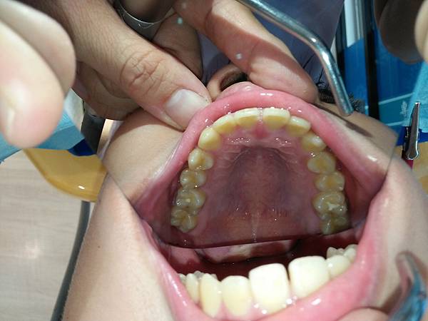
患者因牙齒有點暴和嘴巴經常破皮加上牙縫有蛀牙來就診,家長希望能改善牙齒排列,經醫師說明和印模後得知,確實是因為牙弓上下落差太大,導致咬合干擾,才會經常性咬到臉頰、破皮,牙齒傾倒到舌側所以導致直接塞牙縫,形成大臼齒牙縫蛀牙。 建議做矯正調整咬合和牙齒排列,但骨架落差部份,需靠做牙齒來縮小落差,使其能對合的位置較佳。
上顎牙弓相較下顎為大。牙縫鬆。
下顎牙弓較小,牙齒舌側傾斜。
家長同意療程,期待治療後能改善。
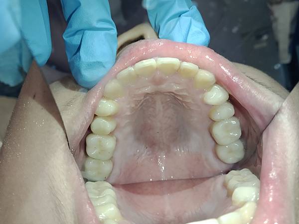
牙齒調整完成,將後牙印模做榫接式牙冠,不需抽神經,全瓷材質,建立後牙適當高度,有效縮小上下顎骨架落差。
下顎也完成後牙的裝牙。榫接式牙冠已裝置完成,牙齒不再有傾倒現象了。
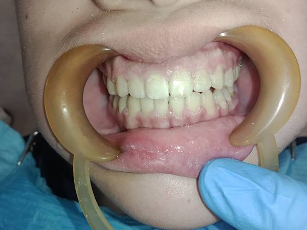
治療完成了,矯正器拆除啦!患者好開心,直呼好神奇。
前牙受力較輕。
不再有牙齒暴牙的現象了。
後牙咬合高度佳,牙縫可以清潔不會直接塞,就不容易牙縫蛀牙。
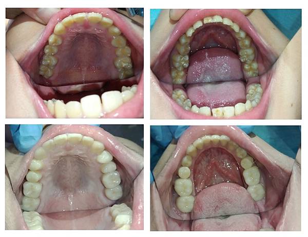
上顎牙弓形狀。
下顎牙弓形狀。
拉近上下顎骨架差距,排好牙齒的相對位置,使其功能及外觀皆達最佳化。
患者的臉型也優化為小帥哥一位。讓其拆完牙套後可以大方自在的展露笑容。 醫病攜手,共創美好治療成果。
|
|
| ( 在地生活|中彰投 ) |



























