字體:小 中 大 |
|
|
|
| 2020/03/06 12:15:20瀏覽346|回應0|推薦0 | |
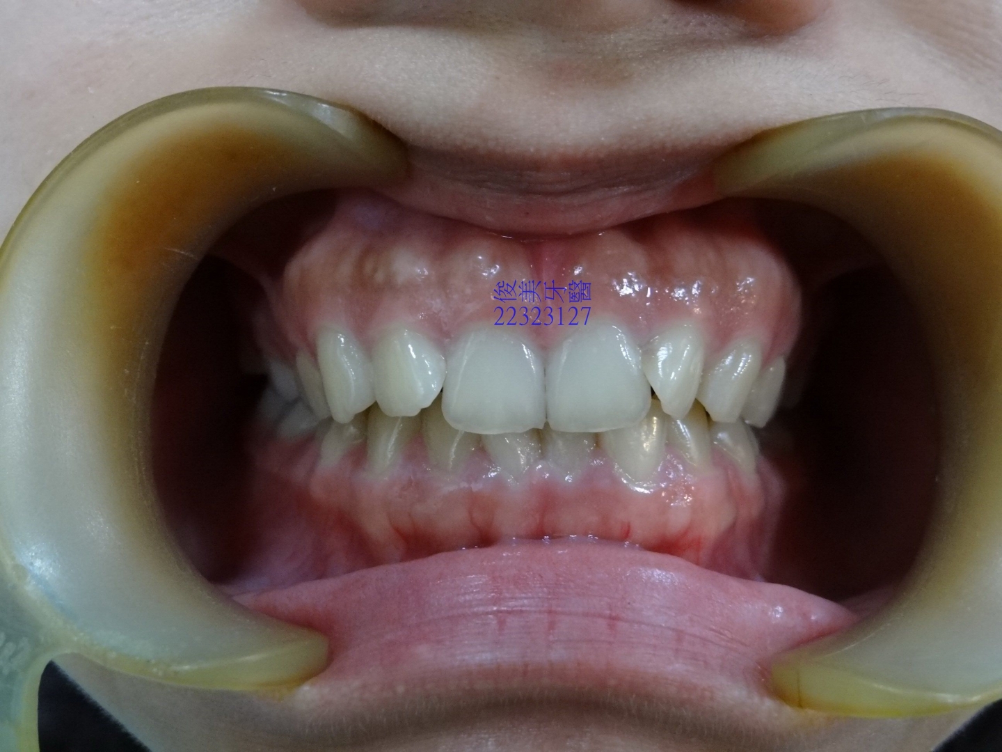
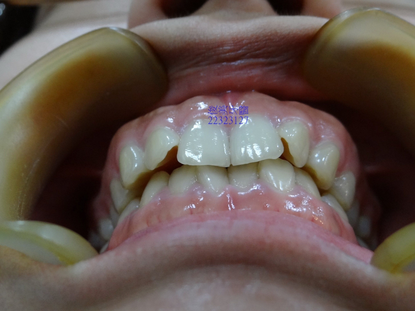
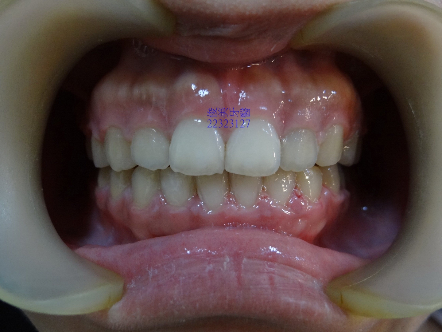
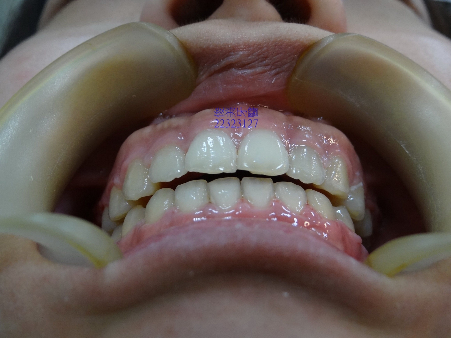
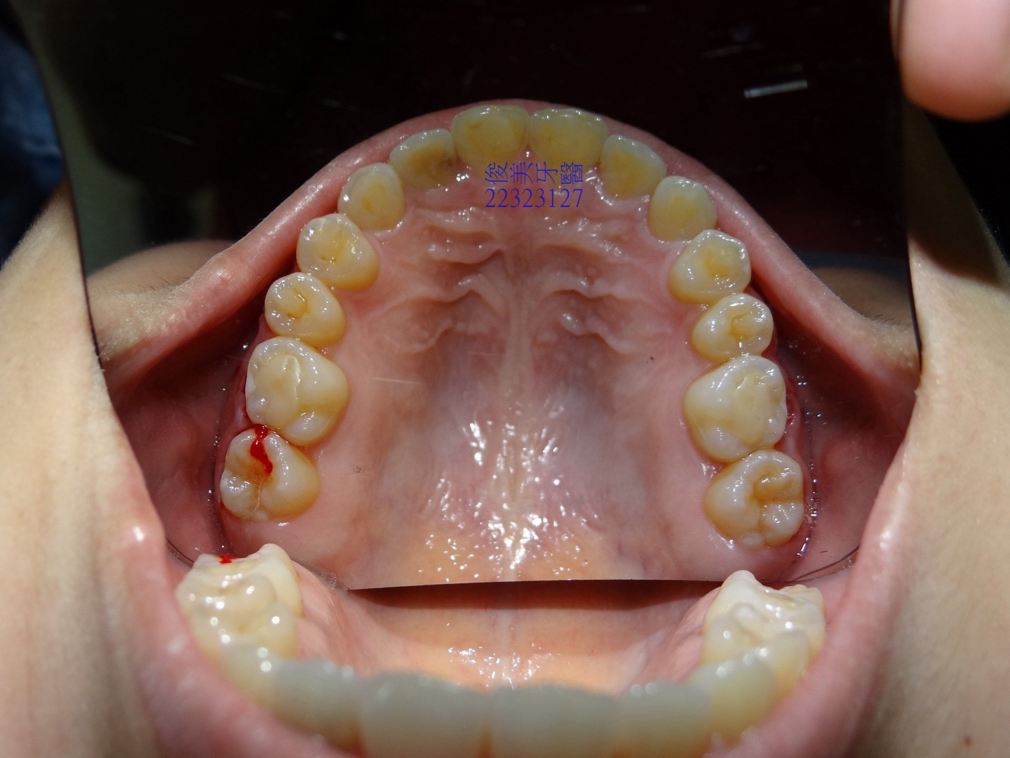
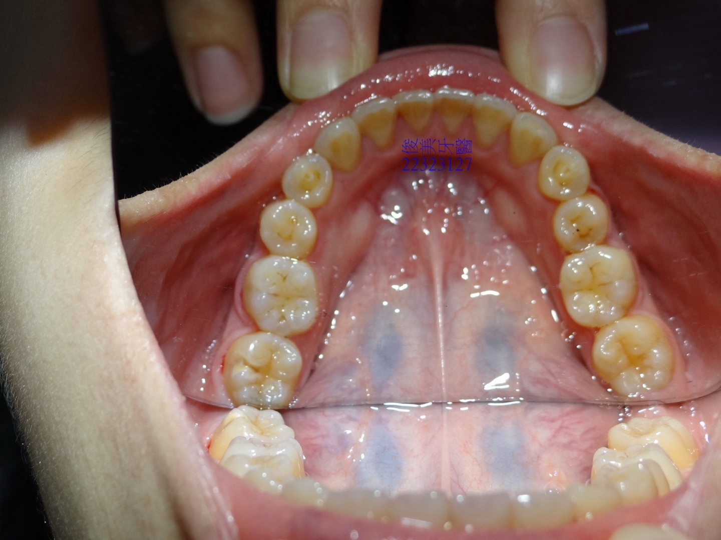
![]() 患者於門診中表示,牙齒很擁擠,想要改善;經醫師門診後,建議患者進行矯正治療即可改善。 ![]() 牙齒重疊... ![]() 有深咬現象... ![]() 上顎狀況... ![]() 下顎狀況... ![]() 左側咬合,牙齒往舌側傾斜...... . ![]() 右側咬合,牙齒往舌側傾斜...... ![]() 治療中....擁擠和深咬已改善.... ![]() 牙齒往後移.....將牙齒齒軸回正一點。 ![]() 治療結束,拆除矯正器了............. ![]() 患者好開心......牙齒整齊後,笑容更可愛了。 ![]() 也沒有暴牙的狀況。 ![]() 上顎牙弓狀況。 ![]() 下顎牙弓狀況。 ![]() 右側咬合狀況。 ![]() 左側咬合狀況。 ![]() 已拆除超過5年,依舊配戴維持器,保持最佳狀態。 |
|
| ( 在地生活|中彰投 ) |




























